Neoplasia Cervical Intraepitelial: Clasificación, Diagnóstico y Manejo.
La neoplasia cervical intraepitelial (NIC) es una condición premaligna del cuello uterino y hace referencia a anormalidades escamosas. Revisamos a continuación las claves de este padecimiento.
Usando el sistema Bethesda, los hallazgos citológicos cervicales escamosos se describen usando el término “lesión intraepitelial escamosa” (SIL) y los cambios histológicos con el término “NIC”. Usando el sistema de Terminología Escamosa Anogenital Inferior (LAST), los hallazgos citológicos e histológicos se describen utilizando el término “SIL”.
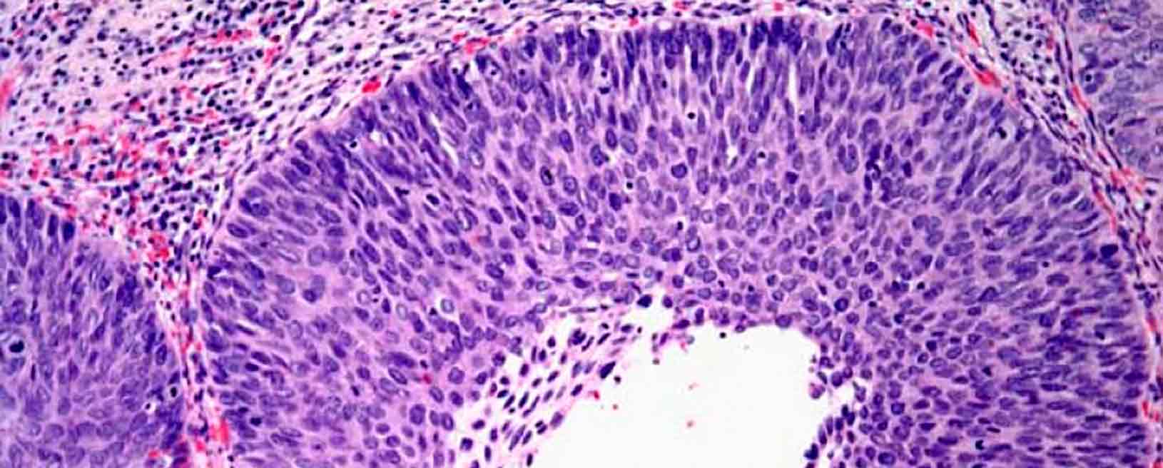
La neoplasia cervical intraepitelial (NIC) tiene tres grados, acorde a la clasificación de Richart. Ello en función del espesor del epitelio escamoso afectado por las alteraciones celulares: NIC1: 1/3 basal; NIC2: 2/3; NIC3: todo el epitelio.

Virus del Papiloma Humano
El virus del papiloma humano (VPH) es el principal agente etiológico de las lesiones cervicales premalignas y el cáncer. La asociación entre el VPH y la neoplasia cervical intraepitelial es tan fuerte que se ha encontrado que la mayoría de los demás factores, como los sexuales y socioeconómicos, dependen de la infección por el VPH y no se consideran factores de riesgo independientes.
La infección por el VPH es necesaria pero no suficiente para desarrollar una neoplasia cervical intraepitelial. Los dos principales factores asociados al desarrollo de NIC de alto grado y cáncer cervical son el subtipo de VPH y la infección persistente. Los factores ambientales (p.e. el tabaquismo) y las influencias inmunológicas también parecen jugar un papel importante.
Los subtipos de VPH de bajo riesgo oncogénico, como el VPH 6 y 11, no se integran en el genoma del huésped y solo causan lesiones de bajo grado (p. Ej., SIL de bajo grado y NIC 1) y verrugas genitales benignas. Mientras que los subtipos de VPH de alto riesgo oncogénico, como 16 y 18, están fuertemente asociados con lesiones de alto grado, persistencia y progresión a cáncer invasivo, pero también pueden causar lesiones de bajo grado.
| Bajo Riesgo | Alto Riesgo |
|---|---|
| 6, 11, 40, 42, 43, 44, 54, 61, 72, 81 | 16, 18, 31, 33, 35, 39, 45, 51, 52, 56, 58, 59, 68, 69, 82 |
| Serotipos asociados a VPH | |
Herramientas Diagnósticas
La citología cervical o test de Papanicolaou es el método más efectivo para la detección del cáncer cervical. Se toman 3 muestras: vaginal, endocervical y ectocervical, con el objetivo de detectar displasia antes de que se desarrolle invasión del estroma por células displásicas. Para aprender sobre las indicaciones, contraindicaciones y técnica para este estudio te recomendamos esta revisión. Una muestra adecuada se caracteriza por la presencia de células endocervicales y metaplasia epidermoide.
La citología en medio líquido consiste en la dilución de la muestra en una solución fijadora para su procesamiento. Esta técnica disminuye el número de muestras no valorables y permite la determinación de VPH en la muestra. Aumenta además la sensibilidad de la prueba sin reducir su especificidad.
Colposcopía
En esta prueba se localizan lesiones con citología anormal para su evaluación y biopsia. Se utiliza la tinción con ácido acético al 3% y el test de Schiller con captación de lugol. Las lesiones sospechosas se observan acetoblanca, yodonegativas, con leucoplasia secundaria a necrosis o queratinización, neoformación vascular, zonas con punteado basófilo, mosaicos y superficies irregulares con pérdida del epitelio normal y ulceración.
Detección de VPH
Esta prueba detecta la presencia de VPH, con alta sensibilidad y baja especificidad. Se realiza únicamente en pacientes que ya presentan algún tipo de lesión con la finalidad de determinar el genotipo del virus y con ello el riesgo oncogénico. Esta prueba se puede realizar en citologías líquidas y en biopsias.
Manejo de la Neoplasia Cervical Intraepitelial
Hay dos enfoques de manejo para la neoplasia cervical intraepitelial: observación (con citología cervical, detección del virus del papiloma humano y colposcopia) y tratamiento mediante escisión o ablación de la unión escamocolumnar, o menos comúnmente, histerectomía. El tratamiento difiere en mujeres de 21 a 24 años de aquel para mujeres de 25 años o más, porque la neoplasia cervical intraepitelial a menudo remite espontáneamente en esta población de pacientes y el riesgo de cáncer cervical es bajo.
Además, algunas estrategias de tratamiento difieren para mujeres jóvenes que planean concebir, ya que el manejo quirúrgico del cuello uterino asocia riesgos obstétricos en futuros embarazos. El riesgo de malignidad con NIC de bajo grado (NIC 1) depende de la citología cervical precedente:
- Para células escamosas atípicas de importancia indeterminada (ASC-US) o lesiones intraepiteliales escamosas de bajo grado (LSIL), el 4 a 13% de las mujeres serán diagnosticadas con NIC 2,3 en un plazo de 6 a 24 meses de seguimiento.
- Para células escamosas atípicas, cuando no puede excluirse la lesión intraepitelial escamosa de alto grado (ASC-H) o ante lesiones intraepiteliales escamosas de alto grado (HSIL), el riesgo a cinco años de NIC 3 o cáncer cervical es aproximadamente del 15%.
Manejo acorde a grado de displasia
Para la mayoría de las mujeres con NIC 1, se recomienda la observación con pruebas de detección de cáncer cervical en lugar de tratamiento. La intervención cervical para el diagnóstico y tratamiento es razonable si la NIC 1 persiste durante más de dos años o si existe sospecha de displasia de alto grado (citología previa de alto grado).
Para mujeres de 25 años o más, la NIC 1 precedida por anormalidades menores (ASC-US, LSIL, HPV 16 o 18, infección por VPH detectada con genotipificación o infección persistente) se maneja mediante observación con citología cervical y pruebas de VPH cada 12 meses. Para las mujeres de 21 a 24 años de edad, el manejo es únicamente mediante observación con citología a los 12 meses porque la tasa de infección por VPH es alta en esta población de pacientes.
El hallazgo de NIC 2 o 3 se asocia con un alto riesgo de cáncer cervical. El 5% de las lesiones NIC 2 y el 12 a 40% de las lesiones NIC 3 progresarán a cáncer cervical. Para la mayoría de las mujeres con NIC 2,3, se recomienda la conización en lugar de la observación. La observación con citología y colposcopia es razonable para las mujeres que planean tener hijos a futuro y pueden realizarse pruebas de seguimiento a largo plazo. El tratamiento es diferido para mujeres embarazadas, a menos que se sospeche de enfermedad invasiva.
Prevención
El principal enfoque para la prevención de la neoplasia cervical intraepitelial y el cáncer cervical es la vacunación contra el VPH. Aunque el VPH es una enfermedad de transmisión sexual, los condones solo protegen parcialmente. Para las mujeres con neoplasia cervical intraepitelial, se usa un monitoreo y tratamiento apropiados como prevención secundaria del cáncer cervical.
Referencias Bibliográficas
Montz FJ. Management of high-grade cervical intraepithelial neoplasia and low-grade squamous intraepithelial lesion and potential complications. Clin Obstet Gynecol 2000; 43:394.
Massad LS, Einstein MH, Huh WK, et al. 2012 updated consensus guidelines for the management of abnormal cervical cancer screening tests and cancer precursors. J Low Genit Tract Dis 2013; 17:S1.
Waxman AG, Chelmow D, Darragh TM, et al. Revised terminology for cervical histopathology and its implications for management of high-grade squamous intraepithelial lesions of the cervix. Obstet Gynecol 2012; 120:1465.
Castle PE, Gage JC, Wheeler CM, Schiffman M. The clinical meaning of a cervical intraepithelial neoplasia grade 1 biopsy. Obstet Gynecol 2011; 118:1222.
Winer RL, Lee SK, Hughes JP, et al. Genital human papillomavirus infection: incidence and risk factors in a cohort of female university students. Am J Epidemiol 2003; 157:218.
Moscicki AB, Hills N, Shiboski S, et al. Risks for incident human papillomavirus infection and low-grade squamous intraepithelial lesion development in young females. JAMA 2001; 285:2995.
Schmeink CE, Massuger LF, Lenselink CH, et al. Prospective follow-up of 2,065 young unscreened women to study human papillomavirus incidence and clearance. Int J Cancer 2013; 133:172.
McCredie MR, Sharples KJ, Paul C, et al. Natural history of cervical neoplasia and risk of invasive cancer in women with cervical intraepithelial neoplasia 3: a retrospective cohort study. Lancet Oncol 2008; 9:425.
Economos K, Perez Veridiano N, Delke I, et al. Abnormal cervical cytology in pregnancy: a 17-year experience. Obstet Gynecol 1993; 81:915.
Connor JP. Noninvasive cervical cancer complicating pregnancy. Obstet Gynecol Clin North Am 1998; 25:331.
Solomon D, Davey D, Kurman R, et al. The 2001 Bethesda System: terminology for reporting results of cervical cytology. JAMA 2002; 287:2114.
Luff RD. The Bethesda System for reporting cervical/vaginal cytologic diagnoses. Report of the 1991 Bethesda workshop. Am J Clin Pathol 1992; 98:152.
Darragh TM, Colgan TJ, Thomas Cox J, et al. The Lower Anogenital Squamous Terminology Standardization project for HPV-associated lesions: background and consensus recommendations from the College of American Pathologists and the American Society for Colposcopy and Cervical Pathology. Int J Gynecol Pathol 2013; 32:76.
Zielinski GD, Snijders PJ, Rozendaal L, et al. HPV presence precedes abnormal cytology in women developing cervical cancer and signals false negative smears. Br J Cancer 2001; 85:398.
de Villiers EM, Fauquet C, Broker TR, et al. Classification of papillomaviruses. Virology 2004; 324:17.